Diagnostic Imaging

With on-site CT, X-ray, fluoroscopy, and ultrasound, we can offer efficient, advanced, and accurate diagnostic capability

Diagnostic Imaging

Diagnostic Imaging plays a crucial role in modern veterinary medical practice by offering accurate visualisation of internal structures. In addition to being diagnostic, it is commonly employed to assist with surgical planning, and assessing surgical feasibility. Computed Tomography (CT) serves as one of the most widely used tools for detailed cross-sectional imaging of organs, bones, and soft tissues. CT supports clinicians in identifying disease early and planning effective treatments. Along with CT, X-ray imaging, ultrasound, and fluoroscopy help vets to comprehensively evaluate patients, and individualise treatment recommendations.

Experienced in-house and remote clinical teams, including specialist radiologists, review cases, recommend most appropriate imaging options, and report studies, interpreting with care and precision, to help pet-owners understand their animals’ situation and options.

  • Computed Tomography (CT)
  • X-Ray
  • Fluoroscopy
  • Ultrasound

 

X-Ray Icon

X-Ray

Cases

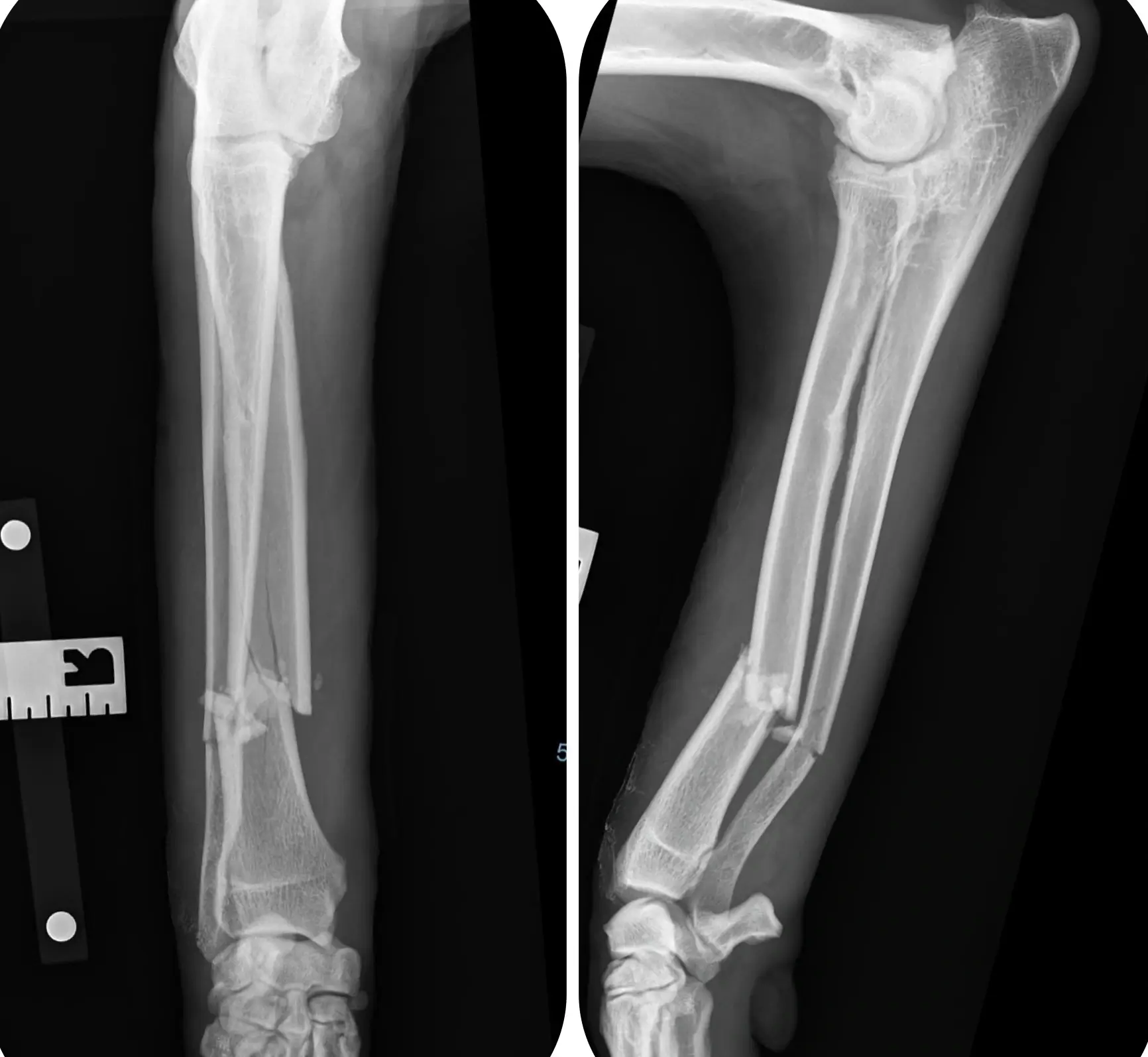
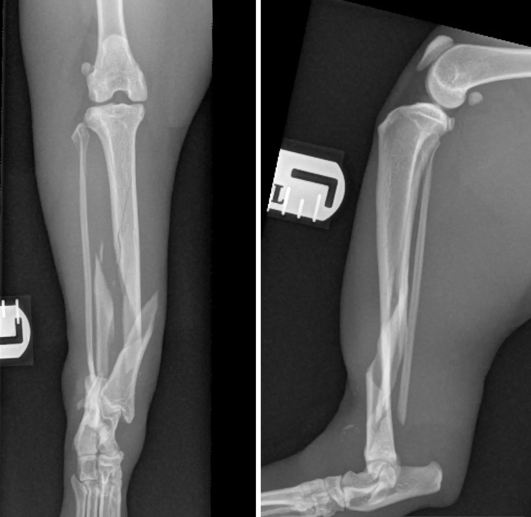
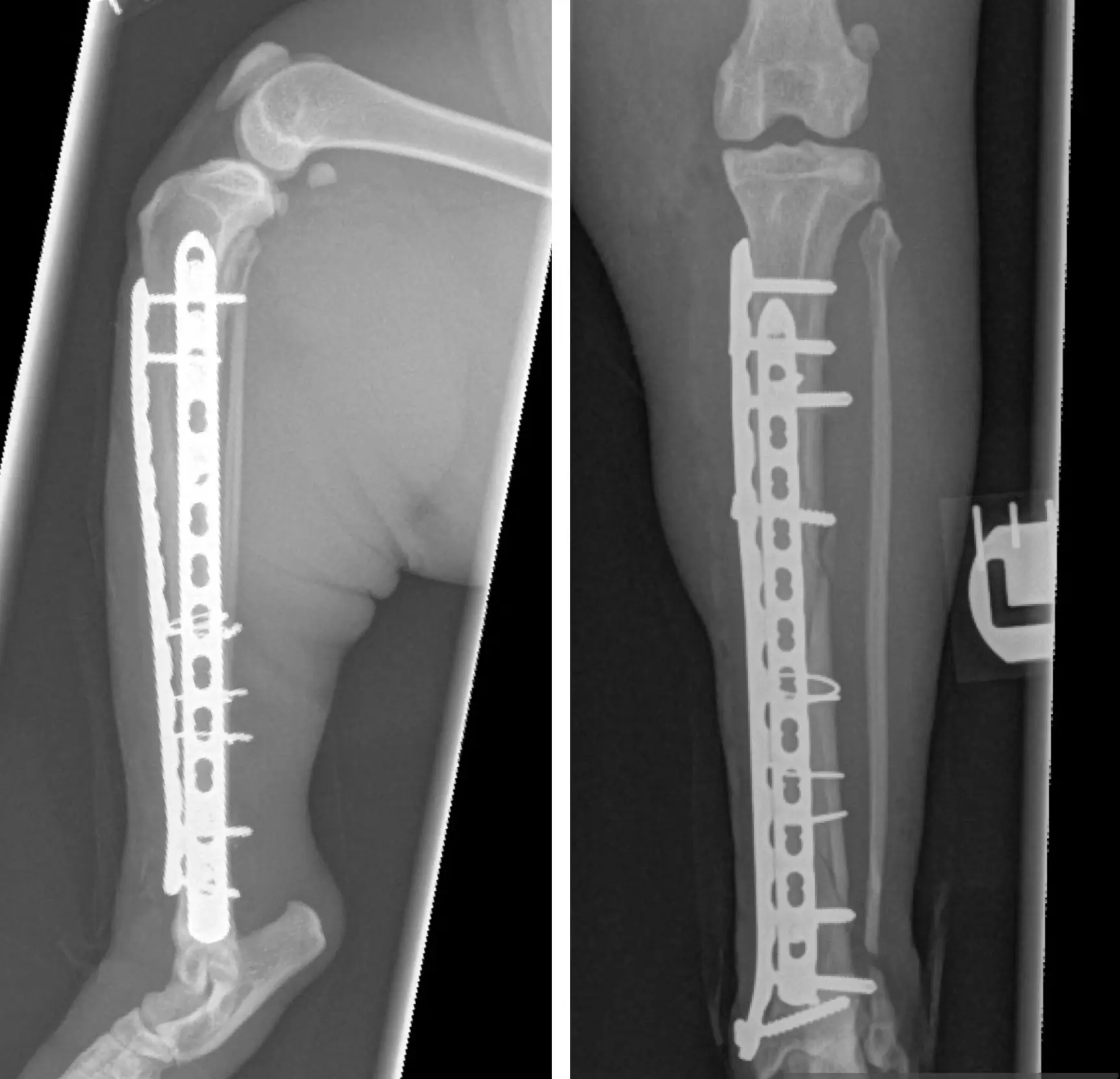
  • Fractures
  • Trauma
  • GI Obstruction
  • Foreign Body Review
  • Initial Cancer Screening

 

Duration: 5–10 minutes

Radiation: Ionising Radiation

 

X-Ray Imaging
X-Ray Imaging
X-Ray Imaging

X-Ray Icon

CT

Cases

  • Emergencies
  • Trauma
  • Detailed Cancer Screening
  • Complex Vascular Review
  • Complex Orthopaedic Review
  • Pre-surgical Planning
  • Spinal Disease and Injury

 

Duration: 5–10 minutes

Radiation: Ionising Radiation

 



 

Diagnostic Imaging Expertise

CoraVets offers advanced diagnostic imaging services for dogs and cats, ensuring accurate and rapid patient, injury, or disease evaluation. Accurate and efficient imaging optimises outcomes through better understanding and planning. With a priority on patient safety and comfort, and ensuring minimal stress, every scan is performed using best-practice techniques  (sedation, general anaesthesia etc) to deliver reliable images that ensure accurate results. Whether evaluating soft tissues, bones, internal organs, or neurological structures, our diagnostic imaging team ensures the highest standard of accuracy and veterinary care.

 

Imaging We Offer

We offer a full range of diagnostic imaging procedures for dogs and cats:

  • High-resolution CT scanning for 3D visualization of internal structures, fractures, tumors, lung diseases, and spinal conditions, using Toshiba 80 slice equipment
  • Digital radiography (X-rays) for fast and accurate assessment of musculoskeletal, pulmonary, gastrointestinal, and urogenital disorders.
  • Ultrasound imaging for real-time, bedside diagnosis and patient monitoring.
  • Fluoroscopy for accurate intra-operative guidance, as well as dynamic studies of the respiratory and gastrointestinal systems.
  • Contrast studies (CT, X-Ray, and Fluoroscopy) to enhance patient assessment.

 
These advanced modalities allow us to diagnose complex conditions accurately and efficiently.
 

Facilities & Equipment for Diagnostic Imaging

Other Services

Diagnostic Imaging

With on-site CT, X-ray, fluoroscopy, and ultrasound, we can offer efficient, advanced, and accurate diagnostic capability

Orthopaedic Surgery

Diagnosis and treatment of musculoskeletal conditions is a mainstay of our surgical capability at CoreVets

Neurosurgery

Neurosurgery refers to the surgical treatment of peripheral, spinal, and brain disorders.

Soft Tissue Surgery ​

Typically refers to surgery of the 'soft tissues' of the body, including the gastrointestinal, thoracic, cardiovascular, hepatobiliary, and urogenital systems, among others

Surgical Oncology

Surgical oncology is the area of surgery that deals with tumours and cancers. It encompasses combinations of orthopaedic, soft-tisssue, and reconstructive techniques.

Advice & Support for GPs:

We offer case review, image review, and clinical advice for veterinary colleagues all over Ireland

Cora Vets has been an absolute blessing for my pet. The team is incredibly caring, professional, and always takes the time to explain everything clearly.

— Tania Green

Referral Type
Referring Practice
Client Details
Patient Details
Supporting Documents